原因を見極めることから始まる、
本質的な歯科治療

Determine the cause

塚本駅の歯医者なら「かとう歯科」|精密検査について・保険診療と自費診療の違い

examination

精密検査について・
保険と自費の違い

西淀川区塚本の歯医者「かとう歯科」では、視診だけに頼らず、口腔内全体の健康状態を丁寧に調べる「包括的な診断」を重視しています。精密な検査と正確な診断を通じて、根本的な原因を見極め、より適切な治療計画をご提案します。こちらでは、精密検査の内容や保険診療・自費診療の違いについてご説明します。

多角的な精密検査をもとにして診査・診断を行います

当院では、口腔内全体の状態を精密検査により正確に把握し、その上で診査・診断を行います。 「木を見て森を見ず」という言葉があるように、症状が現れている部分だけで判断して行う治療では、再発リスクが高まります。しっかり治すには、「本当の原因」を突き止め、根本的に改善することが大切です。

そのため、痛みがある所や悪い部分だけでなく、精密検査により歯や歯茎、骨や噛み合わせの状態まで詳細に調べます。さらに生活習慣についてもヒアリングを行います。このように、患者さまの口腔内を多角的に評価し、真の原因を見極め、一人ひとりに合った最適な治療計画をご提案しています。

当院で行う精密検査

口腔内の状態は一人ひとり異なるため、患者さまの現在の状態に合わせて必要な検査を実施します。レントゲンや歯周病検査、噛み合わせの分析など多角的に評価し、正確に診断。それをもとに、患者さまごとに最適な治療計画をご提案します。

精密検査の内容

  • レントゲン撮影
  • 歯科用CT撮影
  • 口腔内・顔貌・全身写真撮影(正面・横・立位)
  • 歯周病検査(歯周ポケット検査・歯の動揺度検査・歯肉からの出血確認)
  • 模型分析
  • 口腔内スキャナーでのデータ撮影
    ※自費診療
  • 顎位の診断 ※自費診療

顎位の診断とは

顎位の診断は、現在の顎のズレや噛み合わせのバランスを正確に把握するための保険適用外の精密検査です。

筋肉をリラックスさせた自然な状態で、本来の噛み合わせの位置(本来の顎位)を確認します。その結果をもとに、専用マウスピースを製作し、顎を本来の位置へと導くために段階的に調整します。

もし、顎位の診断をせずに矯正歯科治療を行うと、顎関節に負担がかかり、顎関節症のリスクが高まります。また、顎位を整えることは、口腔内だけでなく姿勢改善など全身への良い影響も期待できます。

咬合診断

矯正歯科治療や補綴治療において、噛み合わせ(咬合)の状態を正しく評価することはとても重要です。当院では、将来を見据えた治療計画をご提案するため、精密な咬合診断(保険適用外)を行っています。

より正確な診断のため、複数の検査で口腔内の状態を調べます。

  • レントゲン撮影
  • 口腔内やお顔、全身の写真撮影
  • 歯型模型の分析
  • 顎位の診断

これらの検査結果をもとに多角的に判断して、患者さま一人ひとりに合わせた診断資料を製作して分かりやすくご説明します。咬合診断は、治療の精度を高め、末永く健康的な状態を保つために欠かせないステップです。

治療計画システムを
導入しています

「治療計画システム」は、患者さまご自身で治療プランを視覚的にご確認頂ける、当院独自のシステムです。

現在の口腔内の状態や治療法、使用する素材、さらに治療後のイメージまで、モニターや画像で分かりやすくご覧頂けます。患者さま一人ひとりに合わせて治療を計画し、ご提案しています。

保険診療と自由診療の
違いについて

保険診療は国の保険制度に基づき、必要最低限の治療を低負担で受けられます。一方、自由診療は保険の制限を受けず、見た目や機能性に優れた素材や高度な治療法を選べます。費用は全額自己負担です。こちらでは、保険診療と自費診療の違いについてご説明します。

保険診療のメリット・デメリット

MERIT
  • 自己負担が少なく費用を抑えやすい
  • 一定水準の治療を受けられる
DEMERIT
  • 使用できる材料が限られる
  • 選べる治療法が限られる
  • 審美性や耐久性に劣る場合がある

自費診療のメリット・デメリット

MERIT
  • 使える素材や技術に制限がない。
  • より精密で予後の良い治療が受けられる
  • 審美性を重視した治療が可能
  • 一人ひとりに合わせたオーダーメイドの治療が受けられる
DEMERIT
  • 全額自己負担であり、費用が高額になりやすい

保険診療と自費診療の
大きな3つの違い

治療精度の違い

肉眼で患部を確認する保険診療と違い、自費診療ではマイクロスコープを活用した拡大視野での精密な治療が可能です。肉眼では歯や口腔内を正確に把握しきれず、勘や経験に頼るしかありません。しかし、マイクロスコープであれば、患部を正確に捉えられます。そのため、治療の確実性が増して、精度の高い治療を実現できます。

使用素材の違い

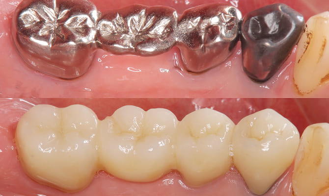
保険診療では、国の基準に基づいて銀歯やレジン(プラスチック)といった最低限の機能を満たす素材が使用されます。これらは費用を抑えられる反面、見た目や耐久性に限界があります。

一方、自費診療では、セラミックやジルコニアなどの高品質な素材を選択でき、自然な見た目や長期間の使用にも対応可能です。治療の美しさや快適さを重視したい方には、自費診療の素材の方がより満足度の高い治療が期待できます。

治療と作成にかけられる時間の違い

保険診療では診療報酬制度の制約があるため、1回の治療にかけられる時間や補綴物の製作工程には限りがあります。そのため、どうしても治療や技工物の精度に影響が出ることもあります。

一方、自費診療では、患者さま一人ひとりに十分な時間を確保し、細部まで丁寧に診療を行うことができます。補綴物(かぶせ物・詰め物など)も、自費専門の技工所と連携し、時間をかけて精密に作製しています。見た目の美しさはもちろん、長期的な安定性や快適な咬み心地を追求した、高品質な治療をご提供しています。

歯を長く保つためより良い
治療を一緒に考えましょう

当院では、精密な検査を実施して患者さまのご要望やライフスタイルを丁寧にお伺いした上で、歯を長く保つための治療法をご提案しています。

自由診療は、歯を守る一つの選択肢であり、必ずしも全ての方に必要なものではありません。保険診療と自由診療はそれぞれ異なる特長を保っています。それを正しくご理解頂き、患者さまご自身が納得できる治療法を一緒に考えていきます。不安なことや疑問があれば、塚本駅の歯医者「かとう歯科」お気軽にご相談下さい。

完全予約制 TEL