原因を見極めることから始まる、
本質的な歯科治療

Determine the cause

塚本駅で審美歯科・ホワイトニングの歯医者なら「かとう歯科」|審美歯科治療・ホワイトニング

esthe

審美歯科・
ホワイトニング

美しさと機能性を両立させる審美歯科治療

虫歯治療の本来の目的、それは失われた歯の機能を回復することです。しかし、保険診療の詰め物・被せ物は金属素材であるため、「銀歯が目立つ」「笑う時に気になる」といった見た目のお悩みが生じてしまいます。さらに金属素材は、長期間口腔内にあると、金属アレルギーを引き起こすリスクもあるため、健康面でも問題があります。

塚本駅の歯医者「かとう歯科」では、見た目の美しさと身体への優しさを両立するため、セラミックを使った審美歯科治療に力を入れています。

セラミック素材の最大の利点は、過度な力が加わった際に“割れてくれる”という点にあります。たとえば、貝類に含まれる硬い異物や、金属製のスプーン・フォークなどを誤って噛んでしまった場合でも、セラミックが割れることでご自身の歯を守ることができます。もし歯そのものが折れてしまうと深刻なダメージにつながりますが、セラミックが先に破損することで、歯を守り、再治療によって再び使える状態に保つことができます。このように、“安全装置”としての役割こそが、セラミック素材の大きなメリットだと考えています。

「白い歯にしたい」「金属アレルギーが心配」という方は、ぜひ一度ご相談下さい。自然な白さと透明感があり、健康的な白い歯をご提供します。

当院の審美歯科治療の
こだわり

土台となる歯茎を整えてから
審美歯科治療に進みます

審美歯科治療でいくら見た目を美しく整えても、土台となる歯茎が健康でなければ、せっかくのセラミックも長持ちしません。機能性と美しさを両立させ、治療効果を持続させるために、当院ではまず、口腔内全体の状態を丁寧に検査します。

検査により歯周病が見つかった場合は、先に歯周病治療を行い、歯茎をしっかりと整えてから審美歯科治療を進めていきます。「治療が必要な理由」「治療の流れ」についても、患者さまに分かりやすくご説明し、納得して頂いた上で進めます。

歯周病についてはこちら

適切な力のコントロールで
治療後も長持ちさせる

せっかく美しくて機能的な補綴物を入れても、噛み合わせの力が強すぎれば、割れたり欠けたりして長持ちしません。当院では、治療後の状態をできるだけ長く維持できるように、噛み合わせの力のコントロールについても丁寧にご説明し、患者さまにも実践して頂いています。再治療をする必要のない、健康な口腔内を守っていきましょう。

信頼できる歯科技工所との連携

当院で使用する補綴物は、審美性と精度に優れた自費診療の補綴物製作に特化した信頼できる歯科技工所に依頼しています。提携しているのは、高度な技術力に定評のある「アリストジャパン」、そして丁寧な仕上がりに定評のある「ロイヤルクラウンラボ」です。技工士と密な連携を図ると共に、定期的な勉強会や研修会にも一緒に参加して技術向上に努めています。患者さまへより質の高い審美歯科治療をご提供できるように、お互いを高め合う関係性を築いています。

こうしたコミュニケーションのしやすさと高い技術力が治療の質に直結し、見た目と機能性の両立を実現しています。

アリストジャパンのサイトはこちら

取り扱いメニュー

オールセラミック

セラミック素材だけで製作する人工歯で、詰め物や被せ物に加工します。天然歯に近い光の透過性や白さがあるので美しい仕上がりになります。金属と違い天然歯と同等の硬さなので過度な負荷がかかった時には割れて歯を守ってくれます。

ラミネートべニア

「前歯が欠けている」「すき間がある」などの場合、ホワイトニング(下の項へリンク)では白くならない時に、前歯の表面を薄く削って、そこにシェル状のセラミックの板を貼りつける処置です。歯の形を整えながら、白く美しく仕上げることができます。

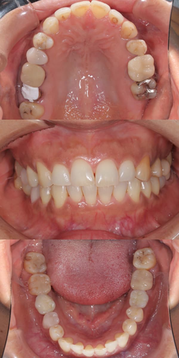
審美歯科治療の症例紹介

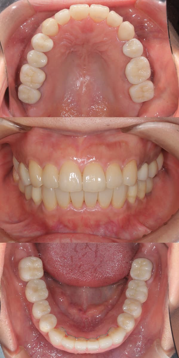
審美歯科①

  • 患者さまの主訴

    被せ物が何度も取れる。噛みにくい。歯を綺麗にしたい。

  • 治療内容

    部分矯正、セラミック修復

  • 患者さまの年齢

    50代

  • 患者さまの性別

    女性

  • 治療期間

    2年2ヵ月

  • 治療にかかった総額(税込)

    450万円

  • 治療する際に起こるメリット

    噛みやすくなり、審美的にも綺麗になれる

  • 治療する際に起こるリスク・副作用

    セラミックの破折、後戻り

審美歯科治療の料金表

セラミックIn
77,000円(税込)
ラミネートべニア
148,500円(税込)
オールセラミッククラウン
148,500円(税込)
オールセラミッククラウン
(スーパーハイグレード)
187,000円(税込)

※全て税込み価格です

黄ばんでしまった歯を
白く美しく

歯は年齢を重ねるにつれ、だんだんと黄色味が強くなっていきます。それは、加齢にともない歯のエナメル質の水分が減少し、硬度が高くなることで光を通しやすくなり、象牙質の色がより目立つようになるからです。毎日摂取する色の濃い飲食物によって着色が起きていることも原因です。喫煙する場合のたばこのヤニも着色を起こします。

天然歯の場合、歯を削らずに薬剤で白くする方法があります。それが歯科ホワイトニングです。西淀川区塚本の歯医者「かとう歯科」では、ご自宅で行って頂く「ホームホワイトニング」や歯科医院で行う「オフィスホワイトニング」、そして両方を併用する「デュアルホワイトニング」に対応しています。歯の色が気になる方はお気軽にご相談下さい。

ホワイトニングメニュー

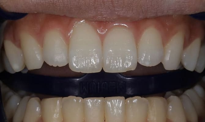
ホームホワイトニング

ご自宅でお好きな時間に自分のペースでじっくり取り組んで頂けるホームホワイトニングは当院のお勧めです。マウストレーに薬剤を注入し、毎日一定時間装着して下さい。1ヶ月前後で効果が現れ始めます。じっくり薬剤を浸透させるので、白さの戻りが少ないホワイトニングです。

当院では、Tion(ティオン)ホームホワイトニングを取り扱っています。ジェル状のホームホワイトニング剤で、装着時にムラなく均一に広がるため、 きれいな仕上がりになります。自然な透明感を得られます。

ホームホワイトニングの注意点

  • 人工歯は白くできません
  • 原則として18歳未満の方や、妊娠中・授乳中の方は施術できません
  • 薬剤やマウストレーは医師の指導を守り、適切に使用・保管して下さい

オフィスホワイトニング

全ての施術を歯科医院で行う方法です。まず歯のクリーニングを行います。そして歯肉を保護してからホワイトニング用の薬剤を歯面に塗布し、特殊な光を当てて歯に付着する色素の分解を促進させます。1回の施術で白さを実感できますが、時間をかけて歯を白くするホームホワイトニングと比べて色が戻りやすい方法です。数回の施術で理想の白さになります。早く白くしたい方にお勧めです。

当院では、Tionオフィスホワイトニングを使用しています。過酸化水素濃度は約23%と比較的低濃度でありながら、高いホワイトニング効果が得られます。

オフィスホワイトニングの注意点

  • ホワイトニングを受けたあとの24時間は色の濃い飲食物(コーヒー、紅茶、赤ワイン、カレーなど)や炭酸・柑橘類などの摂取は避けましょう
  • ホワイトニング後24時間は喫煙を控えて下さい
  • 人工歯は白くなりません
  • 原則として18歳未満の方や、妊娠中・授乳中の方の施術はできません

デュアルホワイトニング

オフィスホワイトニングを行ってからホームホワイトニングを併用して頂く方法です。両方のホワイトニングのメリットを兼ね備えているので、すみやかに白くできる上長持ちします。両方の施術を行うので費用はやや高くなりますが、白い歯を短期間で手に入れられる上、その効果が長続きします。

症例

ホワイトニング①

  • 患者さまの主訴

    ホワイトニング希望

  • 治療内容

    オフィスホワイトニング

  • 患者さまの年齢

    20代

  • 患者さまの性別

    女性

  • 治療期間

    1日

  • 治療にかかった総額(税込)

    44,000円

  • 治療する際に起こるリスク・副作用

    濃い色の飲食による早期の後戻り

ホワイトニング②

  • 患者さまの主訴

    ホワイトニング希望

  • 治療内容

    オフィスホワイトニング

  • 患者さまの年齢

    20代

  • 患者さまの性別

    女性

  • 治療期間

    1日

  • 治療にかかった総額(税込)

    44,000円

  • 治療する際に起こるリスク・副作用

    濃い色の飲食による早期の後戻り

ホワイトニングの料金表

ホームホワイトニング
38,500円(税込)
オフィスホワイトニング
44,000円(税込)
デュアルホワイトニング
71,500円(税込)
ホワイトニング 追加ジェル
2,200円(税込)

※全て税込み価格です

完全予約制 TEL