原因を見極めることから始まる、
本質的な歯科治療

Determine the cause

塚本駅で小児歯科・小児矯正の歯医者なら「かとう歯科」|小児歯科・小児矯正

child

小児歯科・小児矯正

お子の将来の口腔内の
健康を守るために

乳歯は表面のエナメル質が薄く、柔らかく、抵抗力が弱い歯です。そのため、永久歯よりも虫歯になりやすく進行も早いのが特長です。

「乳歯は生え替わるから大丈夫」と思われる方も多いことでしょう。しかし、乳歯の虫歯を放置すると、将来生えてくる永久歯の歯並びにも悪影響があります。お子さまの歯を守るためには、虫歯にさせない「予防」がとても大切です。

塚本駅の歯医者「かとう歯科」では、予防を重視した小児歯科診療を通じて、お子さまの歯の健康を長く守るサポートをしています。

お子さまが検診で
指摘を受けたらご相談下さい

お住まいの地域で行われる1歳半・3歳児検診や、保育園・幼稚園・小学校での検診にて、お子さまが「歯並び」や「噛み合わせ」について指摘を受けた場合は、当院にご相談下さい。

乳歯の時期でも、噛み合わせや顎の成長の問題に関するサインが見つかることは少なくありません。また、3歳ごろからは、メインテナンス(予防ケア)を始めるのに適したタイミングです。「うちの子はまだ小さいし…」とお思いの親御さまも多いかもしれませんが、早い段階から「予防意識」を高めることは、将来の歯並びや顎の健全な発育につながります。少しでも気になることがあれば早めにチェックしましょう。

初めての歯科受診でも、お子さまが安心できるよう、やさしく丁寧に対応します。

虫歯ゼロを目指す
小児歯科のこだわり

子どもたちを「虫歯ゼロ」で育てる。それが、当院の小児歯科における基本方針です。

乳歯の虫歯は、ご家庭での食生活習慣が密接に関わっています。そのため、保護者の方に「虫歯ができた理由」や「防ぐ方法・考え方」を丁寧にお伝えしています。保護者の方と二人三脚で、大切なお子さまの歯を守っていけるように、しっかりサポートします。

顎の成長を育むために

柔らかい食べ物が当たり前になり、早期の断乳をすることも増えた昨今、お子さまの顎は小さくなり、育ちにくくなっている傾向があります。顎が小さいと歯が並ぶスペースが不足し、将来の歯並びや噛み合わせに悪影響を及ぼします。

当院では小さなお子さまがいるご家庭はもちろん、妊婦の方も対象にして、離乳食の与え方や断乳の時期、食育の重要性について丁寧にお伝えしています。そして矯正治療が必要ない健やかな口腔育成につながる、さまざまなアドバイスも行っています。

お子さまの歯並びや噛み合わせが気になる方へ

5~7歳は、顎の成長を促す“顎顔面矯正”を始めるのに最適です。この適切なタイミングで歯科的介入を行えば、歯はもちろん、呼吸や姿勢などお子さまの身体の健康面にも良い影響があります。「歯並びがガタガタ」「口呼吸している」など、気になることがありましたら、お気軽にご相談下さい。お子さまの将来を見据え、根本的な予防・改善、そして健全な成長をお手伝いします。

こんなクセはありませんか?

ちょっとしたクセが歯並びや噛み合わせの乱れを引き起こすことがあります。次のようなクセがありましたら、できるだけ早くご相談下さい。

舌癖(ぜつへき)

舌で前歯を押すクセがあると、前歯が出てしまったり、前歯が噛み合わなくなったりすることがあります。

指しゃぶり

指しゃぶりを長く続けると、「出っ歯」や「開咬」になってしまうリスクが高まります。

偏った咀嚼

片側で噛むクセがあると左右の発達やバランスが崩れてしまいます。

口呼吸

舌の位置が定まらないので、噛み合わせのバランスが崩れがちです。また口の乾燥が虫歯のリスクを高めます。口呼吸は鼻呼吸と比べて様々な病気にかかりやすくなることも分かっています。

頬杖

頬杖などの顔の片方に力を加え続ける生活習慣は、顎の形や歯並びに影響を及ぼします。

唇を噛む

唇を噛むことで前歯に圧力がかかり、上下の噛み合わせに隙間が生じたり、前歯が出てしまったりします。

歯並びの乱れについてはこちら

口腔周囲のトレーニングで
悪い癖と歯並びを一緒に改善

歯並びの乱れは遺伝だけが原因ではありません。舌の位置や口呼吸、頬杖、指しゃぶりなど日常の「癖」が大きく影響します。口腔周囲だけでなく様々な悪い癖が、歯や顎の正常な成長を妨げ、歯列不正や噛み合わせのズレを引き起こします。

当院では、矯正治療に際してMFTを並行して進めます。MFTとは、お子さまの癖を改善するために、正しい筋機能を身につける「口腔周囲のトレーニング(MFT)」です。トレーニングを通して、舌や口唇、頬の筋肉をバランス良く鍛えることで、自然な口元と正しい噛み合わせを目指します。

トレーニングによって正しい筋機能が身につくと、歯の移動がスムーズになり、矯正後の後戻りも予防しやすくなります。見た目の歯並びと共に、機能面も根本から整えて、お子さまの将来の健康をサポートします。

症例

小児矯正①

  • 治療内容

    顎顔面矯正

  • 患者さまの年齢

    10歳

  • 患者さまの性別

    女性

  • 治療期間

    5年

  • 治療にかかった総額(税込)

    55万円

  • 治療する際に起こるリスク・副作用

    後戻り

小児矯正②

  • 患者さまの主訴

    永久歯が生えてこない

  • 治療内容

    顎顔面矯正

  • 患者さまの年齢

    11歳

  • 患者さまの性別

    男性

  • 治療期間

    2年2ヵ月

  • 治療にかかった総額(税込)

    55万円

  • 治療する際に起こるメリット

    劣成長の骨格を拡大することで抜歯せず矯正が行える

  • 治療する際に起こるリスク・副作用

    トレーニングを頑張らなければ2期矯正が必要になる可能性がある

矯正治療で口腔内と身体の健康な成長を促しましょう

お子さまの歯科矯正治療をお考えの親御さまの中には、見た目を気にされて相談される方がおられますが、乱れた歯並びを整えることのメリットはきれいな口元を得られるだけではありません。全身の健康にも影響します。

歯並びや噛み合わせが乱れていると、口腔内の自浄作用が十分に働かなくなり、汚れがたまりやすくなるため、虫歯や歯周病のリスクを高めてしまいます。また噛み合わせが悪くうまく咀嚼ができないと、顎の成長だけでなく全身の成長にも悪影響を及ぼしてしまう可能性があるのです。食べ物を十分に細かく砕くことができないので、胃腸に負担がかかったり、栄養補給が不十分になりがちになったりします。

顎顔面矯正で、歯並びと噛み合わせの土台を作りましょう

矯正にはさまざまな方法がありますが、「顎顔面矯正」という方法は知らない方も多いかもしれません。顎顔面矯正は、成長期のお子さまの顎の骨の成長を適切に促し、歯がきれいに並ぶスペースを確保しながら、正しい噛み合わせの土台を作る治療法です。骨格自体を根本から改善できるため、鼻詰まりや姿勢の改善につながることもあります。

顎顔面矯正の適応年齢は基本的に5~10歳くらいです。より効果的に治療を進めるためにも、7歳までに始めるのがお勧めです。口呼吸や猫背、いびきなど、気になる症状があれば、早めにご相談下さい。

顎顔面矯正の
治療の流れと装置について

顎顔面矯正は、お子さまの成長に合わせて段階的に行う治療です。まずは精密な診断をもとに、骨格の成長状態や噛み合わせ、呼吸の状態などを総合的に評価します。そのうえで、必要に応じて上顎の横幅を広げる「拡大装置」や、顎の成長を正しい方向へ導く「FKO(機能的矯正装置)」などを用いながら、骨格の健全な発育をサポートしていきます。

使用する装置は、成長を妨げず、自然な発育を引き出すよう設計されています。定期的なチェックと調整を通して、お子さま一人ひとりに最適なタイミングと方法で治療を進めていきます。

生え変わり前の理想的な乳歯列

こちらは、生え変わり前の理想的な乳歯列です。すき間のある状態が正常で、これから生えてくる大きな永久歯がきちんと並ぶための準備ができている証拠です。

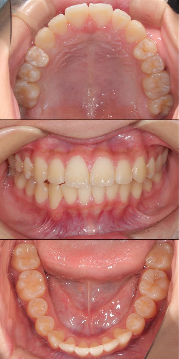
「成長する力」を引き出す
顎顔面矯正の効果

こちらは、顎顔面矯正の装置を使用する前後の歯列の変化を比較したものです。治療により、顎の成長が促され、歯がきれいに並ぶためのスペースがしっかり確保されてきているのがわかります。

成長期に合わせたタイミングで適切な治療を行うことで、将来的な歯並びや噛み合わせの乱れを未然に防ぐことができます。

※掲載している症例は一例であり、治療結果には個人差があります。

早期に矯正治療するメリット

顎の骨が柔らかく成長力の高い5~7歳ごろにスタートすることで、以下のようなメリットが期待できます。

  • 抜歯をせずに済む場合がほとんど
  • 顎のバランスが整う
  • 自然に歯が並びやすくなる
  • 永久歯が生えるスペースを設けることができる
  • 筋肉などが正常に動くようにできる

お子さまの歯並びや口腔内の癖が気になる場合は、できるだけ早めに当院へご相談下さい。正しい成長のサポートをすることで、お子さまの将来の健康へとつながります。

料金表

一期矯正(小児矯正)
診断料 55,000円(税込)
矯正料金 495,000円(税込)
二期矯正(成人矯正)
診断料 110,000円(税込)
矯正料金 990,000円(税込)
一期・二期矯正を継続してされた場合
TOTAL 1,100,000円(税込)
マウスピース矯正
診断料 110,000円(税込)
矯正料金 660,000~770,000円(税込)
調整料
4,400円(税込)
パナシールド
22,000円(税込)

※全て税込み価格です

完全予約制 TEL