小児矯正の症例|塚本駅の歯医者「かとう歯科」の症例紹介
blog
症例紹介
小児矯正の症例
-
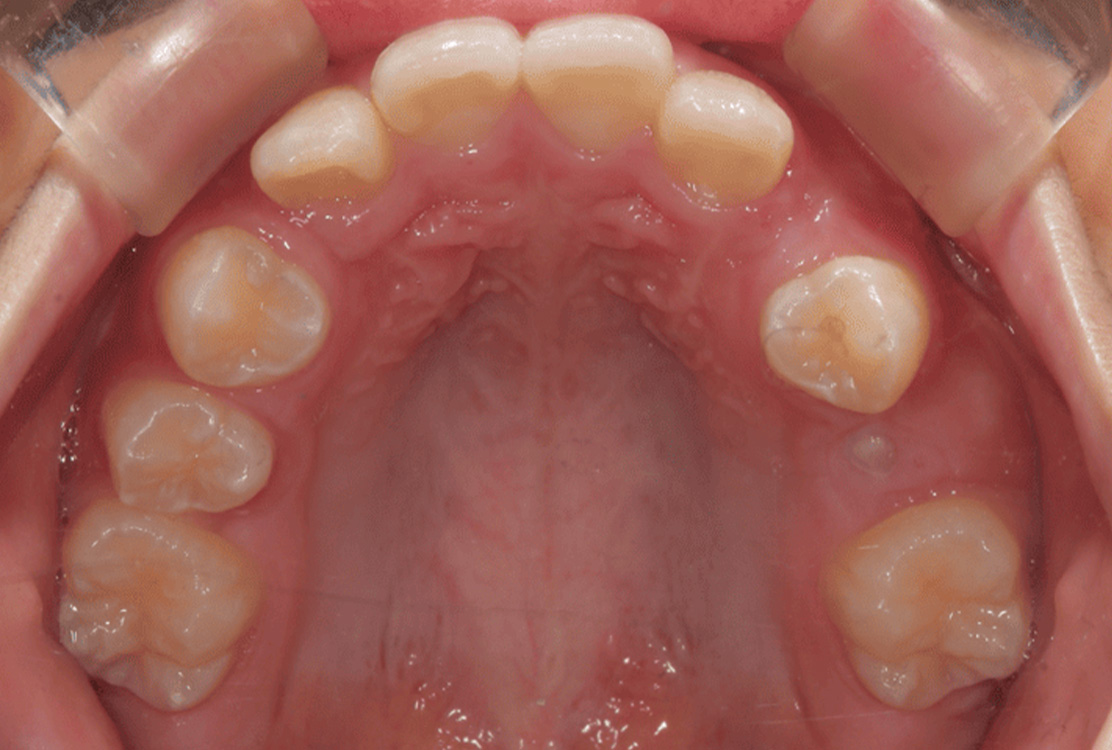
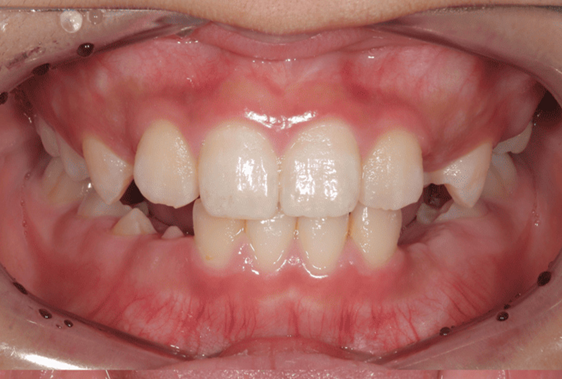
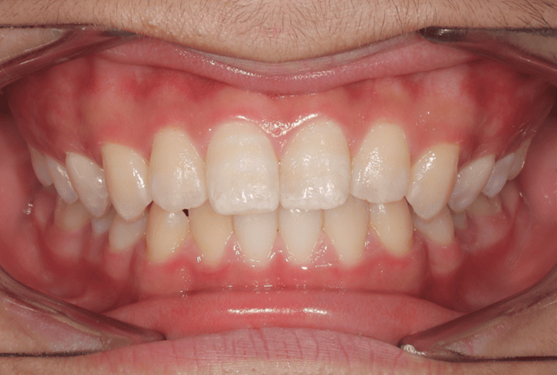
治療前

-
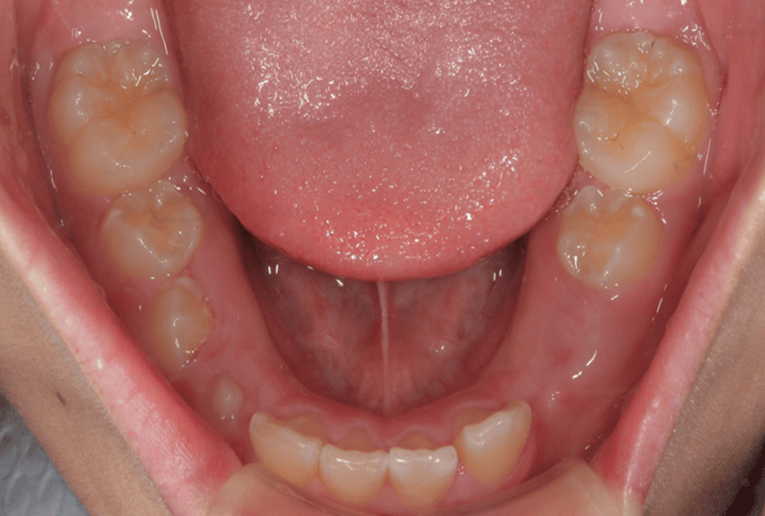
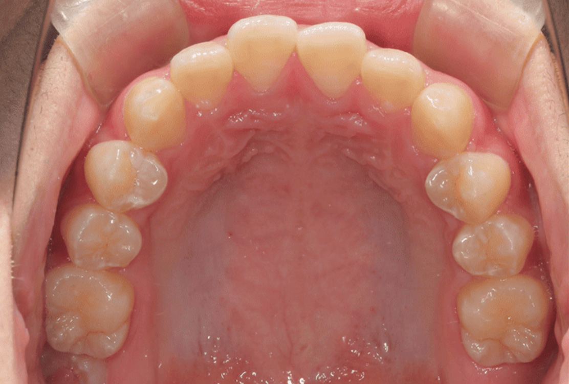
治療後

治療前
治療後
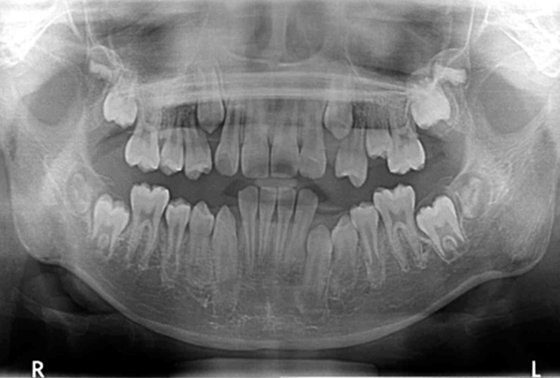
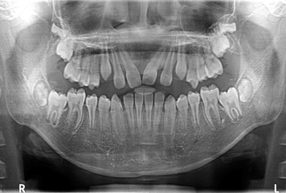
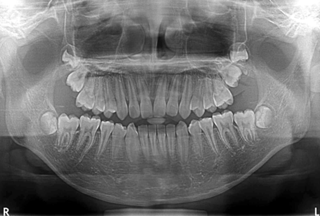
レントゲン画像
| 患者さまの主訴 |
|---|
永久歯が生えてこない |
| 治療内容 |
顎顔面矯正 |
| 患者さまの年齢 |
| 11歳 |
| 患者さまの性別 |
| 男性 |
| 治療期間 |
2年2ヶ月 |
| 治療にかかった総額 |
55万円(税込) |
| 治療する際に起こる メリット |
劣成長の骨格を拡大することで抜歯せずに矯正が行なえる |
| 治療する際に起こる リスク・副作用 |
トレーニングを頑張らなければ2期矯正が必要になる可能性がある |
塚本駅の歯医者
「かとう歯科」

〒555-0022
大阪府大阪市西淀川区柏里3-4-2
サンウレージュ1F
Tel:06-4808-8555
月~金 10:00~13:30/15:00~19:30
休診日 土曜・日曜・祝日









